Skip to main content

Enhanced Imaging Could Provide Quicker, More Precise Diagnosis for Malignant Kidney Tumors

Current News

Enhanced Imaging Could Provide Quicker, More Precise Diagnosis for Malignant Kidney Tumors

With a click of a button, ARCS Scholar Nick Heller is helping radiologists identify and analyze kidney tumors within a patient’s body.

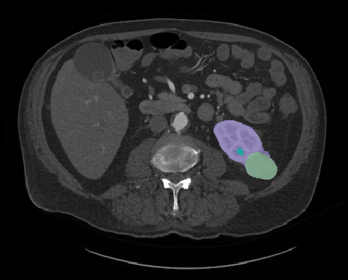
Heller is a PhD student conducting computer science research at University of Minnesota. His research focuses on using computer technology to enhance medical imaging, like a CT scan or an MRI. According to Heller, the magnified images will allow radiologists to quantify the type of tumor it is, saving time between a patient’s diagnoses and treatment.

“They will be able to measure a tumor mass, determine how big and rough they are, and whether they look distinct or blurry against the background. Medical professionals can use that information to choose the most effective treatment and predict a patient's outcome,” Heller explains.

The ARCS Scholar compiles information from the medical charts of real patients. He and other team members also work with radiologists to create hypothesis about how the appearance of a kidney tumor will relate to that patient’s outcome. Heller assigns numbers to each distinct feature the tumor. For instance, if a radiologist determines a tumor has a “hard boundary,” then Heller would quantify that description as anything over the number sixty.

(Courtesy: Nick Heller)

“Then we can turn those numbers into a computer code. If we can automate the code with images and equipment, a radiologist can just hit a button and receive information on the tumor, rather than looking at the image and making a judgement call,” Heller states.   

Eventually, Heller hopes using data driven decisions will create useful tools for radiologists and aid in the discovery of visual biomarkers for non-invasive kidney cancer. Most importantly, the computer algorithms would help medical professionals become more effective in treating the disease and allow scientists to conduct more research based off the numerical patterns they see in each stage of the disease.

In 2019, Heller’s team organized a competition and released their vast data collection on kidney tumors to the public. Known as the Medical Image Computing and Computer-Assisted Intervention (MICCAI) Kidney Tumor Segmentation Challenge, or “KiTS, Heller asked participants to design and train their own machine learning algorithm models using the data and parameters given to them. As it turns out, the UMN group’s segmented kidney cancer dataset was the first of its kind to be used in this type of competition—and drew a lot of interest in the medical community. “We had more than 100 teams from around the world participate in the challenge,” he says. “The event was held in conjunction with a conference in China, so there was a lot of international collaboration. It was a great experience.”  

(Courtesy: Nick Heller)

As the lead organizer, Heller and his team evaluated each entry, ranked them from most successful algorithmic designed model to least successful, and published the results on their website.

The KiTS Challenge was so popular, Heller’s group organized a second competition in 2021.

An ARCS Scholar award recipient from 2018-2020, Heller used some of the funds to pay for servers and bandwidth that helped transmit several hundred gigabytes of data for the KiTS competitions. However, he says, most importantly, ARCS provided life-changing opportunities. “It's been amazing. I met fellow Scholars, alumni, and members of the Minnesota chapter who shared their research, plus gave career and life advice. I wouldn’t have experienced some of those things if it wasn’t for ARCS,” Heller states.

He is not the only one in his family to receive the ARCS Scholar award. His brother Charles Heller was an ARCS Scholar award recipient from 2017-2019 while a PhD student in the Medical Sciences program at Oregon Health & Science University.

Nick Heller will defend his thesis in the fall. He’s already accepted a job at a new medical research company and will help develop a blood test that can detect cancerous tumors within the human body.